Diş Apsesi Nedir ve Nasıl Geçer?

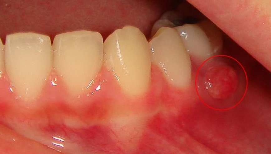
Diş apsesi, diş kökünde veya diş etinde oluşan, ağrı ve rahatsızlığa neden olan bir iltihaplanmadır. Bu iltihaplanma, bakterilerin diş pulpasına (dişin sinir ve kan damarlarını içeren yumuşak doku) girmesi ve burada bir enfeksiyon oluşturması sonucu oluşur. Diş apsesi, diş ağrısının en yaygın nedenlerinden biridir ve acil tedavi gerektiren ciddi bir durumdur.

 0
Diş Apsesi Nedir ve Nasıl Geçer?

Diş Apsesi Neden Olur?

Diş apsesinin en yaygın nedeni diş çürümesidir. Diş çürümesi, bakterilerin diş minesini parçalayarak diş pulpasına ulaşmasına ve burada enfeksiyona yol açmasına neden olur. Diş apsesine yol açabilecek diğer faktörler şunlardır:

Diş travması: Bir darbe veya düşme sonucu dişin kırılması veya çatlaması, bakterilerin diş pulpasına girmesine ve enfeksiyona yol açabilir.

Diş eti hastalığı: Diş eti hastalığı, diş eti ve diş arasındaki dokuların iltihaplanmasına ve tahrip olmasına neden olur. Bu da bakterilerin diş pulpasına girmesine ve enfeksiyona yol açabilir.

Kötü ağız hijyeni: Düzenli diş fırçalamama ve diş ipi kullanmama, ağızda plak ve tartar oluşumuna yol açar. Plak ve tartar, bakterilerin çoğalması için ideal bir ortam oluşturur ve bu da diş apsesine yol açabilir.

Zayıf bağışıklık sistemi: Zayıf bağışıklık sistemi olan kişilerde, diş apsesi gibi enfeksiyonlar daha kolay ortaya çıkabilir.

Bazı tıbbi durumlar: Diyabet ve romatoid artrit gibi bazı tıbbi durumlar, diş apsesi riskini artırabilir.

Diş Apsesi Belirtileri:

  • Diş apsesinin en belirgin belirtisi şiddetli diş ağrısıdır. Ağrı, genellikle gece veya dinlenme sırasında daha da kötüleşir. Diş apsesinin diğer belirtileri şunlardır:
  • Diş etlerinde şişlik ve kızarıklık
  • Yüzde şişlik
  • Ateş
  • Yutkunmada zorluk
  • Kötü ağız kokusu
  • Dişten irin gelmesi

Diş Apsesi Nasıl Tedavi Edilir?

Diş apsesi teşhisi, diş hekimi tarafından klinik muayene ve röntgen ile yapılır. Teşhis konulduktan sonra, apseyi tedavi etmek için genellikle antibiyotik tedavisi ve diş drenajı uygulanır.

Antibiyotik tedavisi: Antibiyotikler, apseye neden olan bakterileri öldürmeye yardımcı olur.

Diş drenajı: Diş drenajı, apseden irinin boşaltılması için yapılan bir işlemdir. Bu işlem, genellikle diş hekiminin ofisinde lokal anestezi altında yapılır.

Bazı durumlarda, apseyi tedavi etmek için kanal tedavisi veya diş çekimi gerekebilir.

Diş apsesini önlemek için şunları yapabilirsiniz:

  • Dişlerinizi günde iki kez fırçalayın ve diş ipi kullanın.
  • Düzenli olarak diş hekimi kontrolünden geçin.
  • Şekerli ve asitli yiyecek ve içecek tüketimini sınırlayın.
  • Sigarayı bırakın.
  • Ağız hijyeninizi iyi bir şekilde koruyun.
  • Diş apsesi, tedavi edilmezse ciddi sağlık sorunlarına yol açabilen bir durumdur. Bu nedenle, diş apsesi belirtilerini yaşıyorsanız, en kısa sürede diş hekimine başvurmanız önemlidir.

Not: Bu bilgiler sadece bilgilendirme amaçlıdır ve tıbbi tavsiye yerine geçmez. Diş apsesi veya diğer diş problemleri yaşıyorsanız, lütfen bir diş hekimine danışınız.

Tepkiniz Nedir?

Beğendim Beğendim 0
Beğenmedim Beğenmedim 0
Aşık Aşık 0
Eğlenceli Eğlenceli 0
Kızgın Kızgın 0
Üzgün Üzgün 0
Wow Wow 0